ข้ามไปที่เนื้อหาหลัก
ข้ามไปที่เมนูหลักของเว็บไซต์
ข้ามไปที่ส่วนท้ายของเว็บไซต์
Open Menu
ฉบับปัจจุบัน
บทความย้อนหลัง
ข่าวประชาสัมพันธ์
จริยธรรมการตีพิมพ์
เกี่ยวกับวารสาร
เกี่ยวกับวารสาร
บทความ
ทีมบรรณาธิการ
ติดต่อ
ค้นหา
ลงทะเบียน
เข้าสู่ระบบ
หน้าแรก
/
คลังบทความ
/
ปีที่ 41 ฉบับที่ 3 (2025): July - September
ปีที่ 41 ฉบับที่ 3 (2025): July - September
เผยแพร่แล้ว:
2025-08-18
รายงานผู้ป่วย
Unilateral Cervical Chondrocutaneous Branchial Remnants: A Case Report
Nattawan Daruntherdthai, Poonnawis Sudtikoonaseth, Sirinda Jamjanya
63-66
PDF
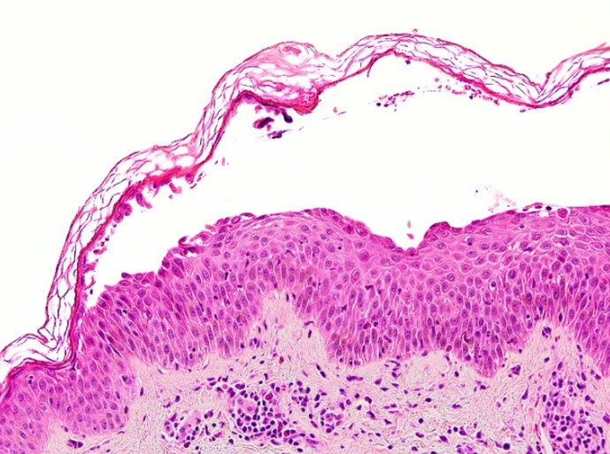
A Case of Pemphigus Herpetiformis: An Unusual Variant of Pemphigus
Bawonpak Pongkittilar, Penvadee Pattanaprichakul
67-70
PDF
An Atypical Presentation of Subcutaneous Panniculitis-like T-cell Lymphoma Misdiagnosed as Preseptal Cellulitis
Sirinda Leelaudomlipi , Patlada Ingkaninanda, Suthep Chirasuthat, Tanaporn Borriboon
71-76
PDF
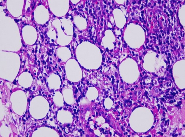
Palisaded Neutrophilic and Granulomatous Dermatitis Associated with Lupus Profundus: A Case Report and Literature Review
Supaporn Suwanchote, Pimsiri Poolsuwan
77-82
PDF
Acute Generalized Exanthematous Pustulosis from Allopurinol with Positive HLA-B*58:01: A Case Report
Passamon Ledarmonpat, Thanasri Sesavej
83-88
PDF
Make a Submission
Make a Submission
ภาษา
English
ภาษาไทย
Information
สำหรับผู้อ่าน
สำหรับผู้แต่ง
สำหรับบรรณารักษ์
journalinfo
Journal Information
Indexed in TCI
บรรณาธิการ: รศ.ดร.พญ.จรัสศรี ฬียาพรรณ
นโยบายการคุ้มครองข้อมูลส่วนบุคคล
Privacy policy